-
췌장염 증상 10가지 총정리카테고리 없음 2025. 8. 15. 16:15
목차
안녕하세요. 복통이 갑자기 몰려오면 “혹시 큰 병 아닐까?” 걱정되시죠.
오늘은 **췌장염(췌장의 급성/만성 염증)**에서 흔히 나타나는 증상들을 깊고 자세하게 정리해 드립니다.





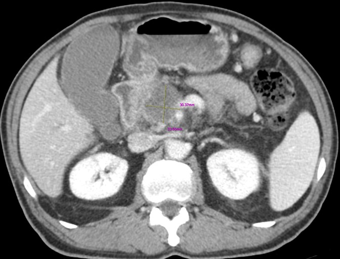
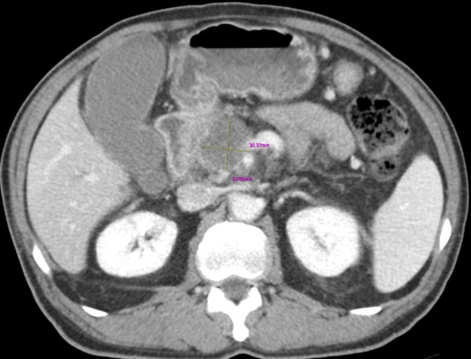
췌장염 증상
증상을 정확히 알수록 응급상황을 빨리 구분하고, 후유증 없이 회복할 가능성이 커집니다.췌장염 증상
상복부(명치 부위) 극심한 통증 — 등(허리)으로 뻗치는 방사통
갑작스럽고 참기 힘든 통증이 명치 한가운데에서 시작해 등/어깨 뒤로 번질 수 있습니다. 손으로 누르면 압통이 뚜렷하고, 몸을 앞으로 숙이면 약간 완화되는 경우가 많습니다. 급성·만성 모두의 핵심 증상입니다.






췌장염 증상 식후(특히 기름진 음식 후) 악화, 갑작스런 발현
식사, 특히 기름진 식사 후 통증이 심해지거나 갑자기 시작될 수 있습니다. 어떤 경우에는 몇 분~수십 분 사이에 급격히 강해지는 양상을 보입니다.
메스꺼움·구토·식욕부진
췌장이 염증으로 예민해지면 지속적인 울렁거림과 구토가 동반되고, 음식을 전혀 받지 못하는 식욕저하가 생깁니다.






췌장염 증상 발열(≥38℃)과 빠른 맥박(빈맥)
염증 반응으로 고열이 나고, 심박수가 빨라지며 전신 컨디션이 급격히 떨어질 수 있습니다. 이는 염증이 활발하거나 중증으로 진행 중일 신호일 수 있습니다.
복부 압통·팽만감
진찰 시 배를 누르면 심한 압통이 있고, 복부가 빵빵하게 부풀 수 있습니다. 장운동이 떨어지면 트림·가스가 늘고, 조금만 먹어도 금방 더부룩해집니다.






췌장염 증상 황달 + 진한 소변 + 연·회색 변(담즙 배출 장애 신호)
췌장과 담도는 해부학적으로 가깝습니다. 염증/부종이나 담석이 담즙 흐름을 막으면 피부·눈 흰자 노랗게(황달), 소변 짙은 갈색, 변이 옅거나 회색으로 바뀔 수 있습니다
기름지고 악취 나는 ‘지방변’(steatorrhea), 체중 감소 — 만성 췌장염에서 특징적
소화효소 분비가 떨어지면 변이 기름지게 뜨고 물에 잘 가라앉지 않으며, 닦아도 묻어나는 기름띠가 보이기도 합니다. 원치 않는 체중감소와 영양저하가 동반되기 쉽습니다.






췌장염 증상 흡수불량·영양결핍(특히 지용성 비타민 A·D·E·K)
효소 부족에 따른 소화·흡수 장애가 지속되면 말라보임, 근육량 감소, 쉽게 멍듦(비타민 K 결핍), 뼈 약화 같은 영양결핍 신호가 나타날 수 있습니다.
혈당 이상·새로 생긴 당뇨(만성 진행의 단서)
췌장 내 인슐린 분비 기능이 손상되면 공복/식후 혈당이 오르고, 성인에서 새롭게 당뇨병이 진단되기도 합니다(특히 만성 췌장염).






췌장염 증상 중증 진행 신호: 저혈압·호흡곤란·의식 저하(괴사성/중증 췌장염)
염증이 심해져 괴사성 췌장염으로 진행하면 탈수와 저혈압, 빠른 호흡, 혼란/의식 저하 등 전신 장기부전 소견이 동반될 수 있어 즉시 응급치료가 필요합니다.
응급·주의 안내
- 다음에 해당하면 지체 없이 119/응급실:
- 30–60분 이상 지속되는 극심한 상복부 통증(등으로 뻗치거나 식후 급격히 악화)
- 끊임없는 구토, 고열(≥38℃), 빠른 맥박/호흡 곤란
- 황달(피부·눈 노랗게), 진한 소변·회색 변, 탈수/어지럼/실신
- 증상이 호전/악화되는 **패턴, 유발 음식(특히 기름진 음식·음주)**을 메모해 진료 시 전달하면 진단에 도움이 됩니다.
췌장염의 핵심은 강한 상복부 통증과 소화·담도 관련 신호를 놓치지 않는 것입니다.
초기에 적절한 치료를 받으면 회복이 빠르지만, 지연되면 합병증과 만성화 위험이 커집니다.
오늘 정리해 드린 10가지 증상 체크리스트로 내 몸의 신호를 재빨리 구분해 보세요.칡즙 효능 10가지
오늘 소개할 건강식품은 오랜 옛날부터 한방에서 널리 사용되어온 뿌리 채소,바로 **‘칡즙’**입니다!칡은 한방에서 **갈근(葛根)**이라 불리며, 해열·해독·진정 등 다양한 효능이 있다고 알려
gbrkwl.ehsaksgdl.com
어깨통증 원인 10가지
현대인이라면 한 번쯤 겪어봤을 어깨통증, 여러분도 고민 중이신가요?컴퓨터 사용, 스마트폰, 무거운 물건 들기 등 일상 속 다양한 이유로 어깨가 뻐근하고 아프다는 분들이 많습니다.하지만 단
gbrkwl.ehsaksgdl.com
- 다음에 해당하면 지체 없이 119/응급실: