-
목차
안녕하세요! 혹시 갑자기 말이 어눌해지거나 팔다리에 힘이 빠지셨나요?
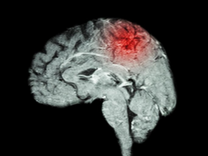
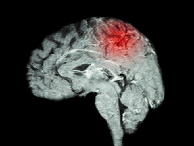
오늘은 많은 분들이 두려워하는 질환, 뇌경색의 초기 증상에 대해 이야기하려 합니다. 뇌경색은 뇌혈관이 막혀 뇌 조직이 손상되는 질환으로, 치료 시기를 놓치면 영구적인 장애를 남기거나 생명을 위협할 수 있습니다.






뇌경색 초기증상 증상이 갑작스럽게 나타나는 것이 특징이며, 응급 상황에 해당하므로 증상을 정확히 알고 신속하게 대처하는 것이 매우 중요합니다. 지금부터 뇌경색의 10가지 주요 초기 증상들을 꼼꼼히 살펴보고, 건강을 위한 첫걸음을 함께 시작해 볼까요? 🧠
뇌경색 초기증상
뇌경색은 뇌의 어느 부위가 손상되었는지에 따라 증상이 다르게 나타납니다. 증상이 한쪽 신체에 집중되어 나타나는 것이 특징이며, 증상이 나타났다가 24시간 내에 사라지는 경우(일과성 허혈 발작)도 있지만, 이는 뇌경색의 전조 증상이므로 반드시 병원을 찾아야 합니다. 다음은 뇌경색 환자들이 흔히 겪는 10가지 주요 초기 증상입니다.
- 얼굴, 팔, 다리의 마비 또는 감각 저하
- 설명: 뇌경색의 가장 흔한 증상입니다. 주로 얼굴, 팔, 다리 중 한쪽에 갑자기 힘이 빠지거나 저릿저릿한 감각 이상이 나타납니다. 특히 마비된 쪽의 입꼬리가 한쪽으로 처지고, 팔다리를 들어 올리기 힘들어지는 증상이 흔히 발생합니다.






뇌경색 초기증상 - 말이 어눌해짐 (구음장애)
- 설명: 발음이 꼬이거나, 말이 어눌해지는 증상입니다. 본인이 말하려고 해도 제대로 발음이 되지 않아 웅얼거리거나 혀가 꼬이는 것처럼 들립니다.
- 언어 능력 저하 (실어증)
- 설명: 말 자체를 이해하지 못하거나, 자신이 하고 싶은 말을 정확하게 표현하지 못하는 증상입니다. 상대방이 하는 말을 듣고도 무슨 뜻인지 이해하지 못하거나, 단어를 떠올리지 못해 대화가 어려워집니다.






뇌경색 초기증상 - 극심한 두통
- 설명: 특별한 원인 없이 갑자기 머리가 깨질 듯한 심한 두통이 발생합니다. 이는 뇌혈관이 막히거나 출혈이 발생하면서 뇌압이 상승하기 때문입니다.
- 어지러움증 및 균형 감각 상실
- 설명: 갑자기 몸의 균형을 잡기 어려워 비틀거리거나 넘어지는 증상입니다. 똑바로 서 있거나 걸을 때 몸이 한쪽으로 쏠리는 느낌을 받을 수 있습니다.






뇌경색 초기증상 - 시야 장애
- 설명: 한쪽 눈이 갑자기 잘 안 보이거나, 사물이 두 개로 겹쳐 보이는 복시 현상이 나타날 수 있습니다. 시야의 일부가 가려지거나, 눈앞이 흐릿해지기도 합니다.
- 기억력 저하 및 인지 기능 장애
- 설명: 갑자기 기억력이 떨어지거나, 날짜나 장소를 헷갈리는 등 인지 기능에 문제가 생길 수 있습니다. 심한 경우 주변 사람들을 알아보지 못하거나 상황 판단 능력이 저하되기도 합니다.






뇌경색 초기증상 - 의식 저하 및 혼수 상태
- 설명: 뇌경색이 심하게 진행되면 의식이 혼미해지거나 완전히 잃는 혼수 상태에 빠질 수 있습니다. 이는 즉시 응급 처치가 필요한 매우 위험한 상태입니다.
- 연하 곤란 (삼키기 어려움)
- 설명: 음식물이나 침을 삼키기 어려워 사레가 자주 들리는 증상입니다. 이는 뇌경색이 삼킴 기능을 조절하는 부위에 영향을 미쳤기 때문입니다.






뇌경색 초기증상 - 행동 및 성격 변화
- 설명: 평소와 달리 감정 조절이 어려워지거나, 쉽게 짜증을 내고 공격적인 행동을 보일 수 있습니다. 또한, 무관심하거나 무감각해지는 등 성격 변화가 나타날 수 있습니다.
뇌경색 의심 시 대처법 및 주의사항
- 즉시 119에 신고: 위와 같은 증상이 하나라도 나타나면 즉시 119에 신고하고 응급실을 방문해야 합니다. 증상 발생 후 4.5시간 이내에 혈전 용해제를 투여하면 후유증을 최소화할 수 있습니다.
- FAST 원칙 기억하기: F(Face): 한쪽 얼굴이 처지는지, A(Arm): 한쪽 팔에 힘이 빠지는지, S(Speech): 말이 어눌해지는지, T(Time): 증상 발생 시간을 기억하는 것입니다. 이 원칙을 숙지하면 신속한 대처에 도움이 됩니다.
- 아스피린 복용 금지: 의사의 지시 없이 임의로 아스피린을 복용하면 출혈성 뇌졸중일 경우 오히려 위험할 수 있습니다.
오늘 함께 알아본 뇌경색 초기 증상들이 여러분의 건강 관리에 큰 도움이 되었으면 합니다. 뇌경색은 초기 대처가 매우 중요한 질환이니, 몸이 보내는 신호에 귀 기울여 신속하게 대처하는 것이 중요합니다. 오늘 알려드린 내용을 바탕으로 궁금한 점이 있다면 언제든지 전문 의료진과 상담하는 것을 잊지 마세요. 우리 모두 건강한 삶을 위해 노력해요!
신장에 좋은 음식
안녕하세요! 혹시 신장 건강이 걱정되시나요?오늘은 우리 몸의 '정수기'이자 '필터' 역할을 하는 신장에 좋은 음식에 대해 이야기하려 합니다. 신장은 혈액 속 노폐물을 걸러내고, 체내 수분과
gbrkwl.ehsaksgdl.com
췌장염 증상 10가지 총정리
안녕하세요. 복통이 갑자기 몰려오면 “혹시 큰 병 아닐까?” 걱정되시죠.오늘은 **췌장염(췌장의 급성/만성 염증)**에서 흔히 나타나는 증상들을 깊고 자세하게 정리해 드립니다.증상을 정확히
gbrkwl.ehsaksgdl.com
adhd 증상 10가지
오늘은 아이들뿐만 아니라 성인에게도 영향을 미칠 수 있는 중요한 주제,바로 **ADHD(주의력결핍 과잉행동장애)**에 대해 알아보려고 합니다.ADHD는 단순히 "산만한 아이" 혹은 "집중 못하는 사람"
gbrkwl.ehsaksgdl.com
- 얼굴, 팔, 다리의 마비 또는 감각 저하