-
목차
안녕하세요! 혹시 소화가 잘 안되거나 이유 없이 체중이 줄고 있나요?
오늘은 가장 치명적인 암 중 하나로 알려진 췌장암의 초기 증상에 대해 이야기하려 합니다. 췌장암은 췌장(이자)에 발생하는 암으로, 췌장이 몸 깊숙한 곳에 위치하고 있어 초기 증상이 모호하거나 다른 소화기 질환과 비슷해 진단이 매우 어렵습니다.






췌장암 초기증상 이 때문에 조기 발견율이 매우 낮지만, 몸이 보내는 작은 신호들을 놓치지 않고 관심을 가지는 것이 중요합니다. 지금부터 췌장암의 10가지 주요 초기 증상들을 꼼꼼히 살펴보고, 건강을 지키는 첫걸음을 함께 시작해 볼까요? 🎗️
췌장암 초기증상
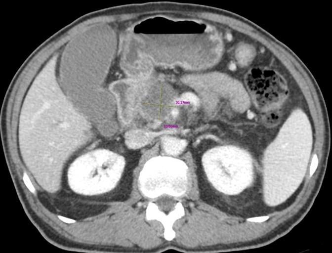
췌장암은 종양의 위치나 크기에 따라 증상이 매우 다양하게 나타납니다. 초기에는 자각 증상이 거의 없어 병이 상당히 진행된 후에 발견되는 경우가 많으므로, 아래 증상들이 복합적으로 나타난다면 즉시 정밀 검사를 받아봐야 합니다. 다음은 췌장암 환자들이 흔히 겪는 10가지 주요 초기 증상입니다.
- 복부 및 등 쪽 통증
- 설명: 췌장암 환자의 약 90%에서 나타나는 흔한 증상입니다. 통증은 주로 명치(상복부) 주변에서 시작되어 등 뒤쪽으로 뻗어나가는 양상을 보입니다. 췌장 자체가 복부 뒤쪽 깊은 곳에 위치하고, 주변 신경을 침범하기 때문에 통증이 허리나 등 쪽에서 느껴지는 경우가 많습니다. 특히 밤에 통증이 더 심해지거나, 누워있을 때 악화되고 몸을 앞으로 숙이거나 새우잠을 자면 완화되는 경향이 있습니다.






췌장암 초기증상 - 소화 불량 및 구토
- 설명: 췌장은 소화 효소를 분비하는 중요한 기관입니다. 암으로 인해 췌장액 분비가 줄어들면 음식물, 특히 지방의 소화가 어려워져 소화 불량, 메스꺼움, 구토 등의 증상이 나타납니다. 이로 인해 위염이나 역류성 식도염으로 오인되기 쉽습니다.
- 급격한 체중 감소
- 설명: 췌장암의 가장 흔한 전신 증상 중 하나입니다. 특별히 식사량을 줄이지 않았는데도 단기간에 체중이 눈에 띄게 줄어드는 경우가 많습니다. 이는 암세포가 에너지를 소모하는 것 외에도, 소화 효소 부족으로 인해 영양분 흡수가 제대로 되지 않기 때문입니다.






췌장암 초기증상 - 황달
- 설명: 췌장암이 췌장의 머리 부분(췌두부)에 생겨 담즙이 흐르는 총담관을 막을 때 발생합니다. 피부와 눈의 흰자위가 노랗게 변하고, 소변 색이 콜라처럼 짙어지며, 대변 색이 회색이나 하얗게 변하는 증상이 나타납니다. 황달은 비교적 초기에 발견될 수 있는 중요한 신호입니다.
- 새롭게 발생하는 당뇨병
- 설명: 췌장암 환자의 약 40%에서 당뇨병이 새로 발생하거나, 기존 당뇨병 환자의 혈당 조절이 갑자기 매우 어려워지는 현상이 나타납니다. 췌장암이 인슐린을 분비하는 세포를 손상시키거나 인슐린 저항성을 유발하기 때문입니다. 특별한 이유 없이 당뇨병이 갑자기 생겼다면 췌장암 검사를 고려해봐야 합니다.






췌장암 초기증상 - 옅은 색 변 및 지방변
- 설명: 췌장에서 분비되는 소화 효소, 특히 지방을 분해하는 효소가 부족해지면 소화되지 않은 지방이 대변에 섞여 나옵니다. 변이 희거나 옅은 색을 띠고, 기름기가 많아 물에 뜨거나 변기에 달라붙는 지방변이 나타날 수 있습니다.
- 식욕 부진
- 설명: 암 자체의 영향, 통증, 소화 장애 등으로 인해 음식을 먹고 싶은 마음이 사라지고 식사량이 현저히 줄어듭니다.






췌장암 초기증상 - 피로감 및 무기력증
- 설명: 암세포가 에너지를 소모하고, 영양분 흡수가 제대로 되지 않으면서 극심한 피로감과 전신 쇠약감을 느끼게 됩니다.
- 췌장염
- 설명: 드물지만, 췌장암이 췌장관을 막아 급성 또는 만성 췌장염 증상(심한 복통)으로 발현될 수 있습니다. 뚜렷한 원인 없이 췌장염이 반복된다면 췌장암과의 관련성을 의심해봐야 합니다.






췌장암 초기증상 - 우울증 및 정서 변화
- 설명: 췌장암 환자에게서 암 진단이 내려지기 전부터 우울증이나 불안감 같은 정서적인 변화가 동반되는 경우가 보고됩니다. 이는 암세포가 분비하는 특정 물질이나 신경계 침범과 관련이 있을 수 있습니다.
췌장암 조기 진단을 위한 간략한 주의사항
- 복합적인 증상 주의: 단순 소화 불량이 아닌, 복부 통증 + 체중 감소 + 황달 + 새로운 당뇨병 등 여러 증상이 복합적으로 나타나면 즉시 병원을 찾아 정밀 검사(복부 CT, MRI, 내시경 초음파 등)를 받아야 합니다.
- 고위험군 관리: 50세 이상, 만성 췌장염 병력, 가족 내 췌장암 환자가 있는 경우, 흡연자, 비만 및 당뇨병 환자는 정기적인 검진이 필요합니다.
- 금연 및 절주: 흡연과 과도한 음주는 췌장암의 가장 큰 위험 인자이므로 반드시 피해야 합니다.
오늘 함께 알아본 췌장암의 초기 증상들이 여러분의 건강 관리에 경각심을 주었으면 합니다. 췌장암은 조기 발견이 어렵지만, 몸이 보내는 작은 이상 신호에 민감하게 반응하여 신속하게 대처하는 것이 생명을 지키는 최선의 방법입니다. 오늘 알려드린 내용을 바탕으로 궁금한 점이 있다면 언제든지 전문 의료진과 상담하는 것을 잊지 마세요. 우리 모두 건강한 삶을 위해 노력해요!
파킨슨병 초기증상
안녕하세요! 혹시 손떨림이나 보행 장애를 느끼고 계신가요?오늘은 많은 분들이 궁금해하는 파킨슨병의 초기 증상에 대해 이야기하려 합니다. 파킨슨병은 뇌의 신경 세포가 서서히 손상되어 발
gbrkwl.ehsaksgdl.com
당뇨병 초기증상 10가지 증상
안녕하세요. 최근 들어 피곤함이 잦아지고, 물을 자주 마시게 되거나 소변을 자주 본다면 그냥 넘기기 힘든 신호일 수 있습니다.바로 당뇨병의 초기 단계에서 흔히 나타나는 변화들인데요.초기
gbrkwl.ehsaksgdl.com
역류성 식도염 증상 10가지
안녕하세요! 현대인의 고질병 중 하나로 꼽히는 역류성 식도염에 대해 이야기하려 합니다. 잦은 속 쓰림과 가슴 답답함으로 고통받고 계신 분들이 많으실 텐데요.역류성 식도염은 단순히 속이
gbrkwl.ehsaksgdl.com
- 복부 및 등 쪽 통증