-
목차
안녕하세요! 혹시 목과 어깨가 뻐근하고 팔이 저리신가요?
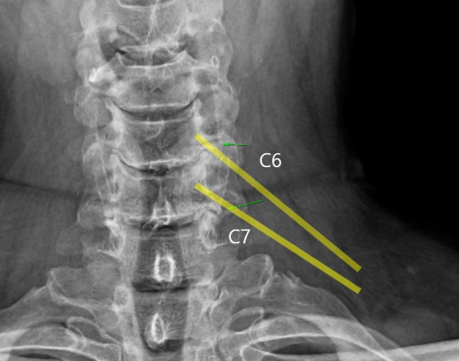
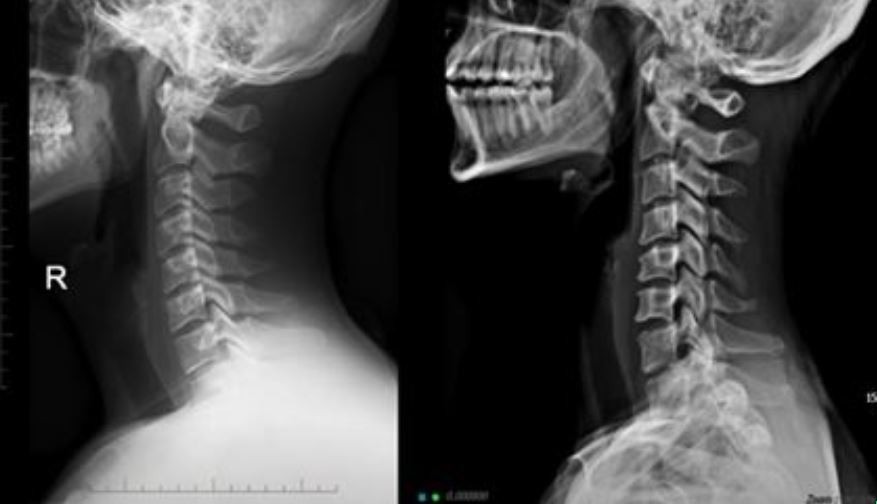
오늘은 목 건강을 위협하는 질환, **목디스크(경추 추간판 탈출증)**의 증상에 대해 이야기하려 합니다. 목디스크는 목뼈 사이에 있는 디스크가 제자리를 벗어나 신경을 압박하면서 발생하는 질환입니다.






목디스크 증상 많은 사람들이 단순히 어깨 결림이나 근육통으로 생각하며 방치하기 쉽지만, 초기 증상을 놓치면 팔다리 마비 등 심각한 합병증으로 이어질 수 있습니다. 지금부터 목디스크의 10가지 주요 증상들을 꼼꼼히 살펴보고, 건강을 지키는 첫걸음을 함께 시작해 볼까요?
목디스크 증상
목디스크는 목 통증뿐만 아니라, 신경 압박으로 인해 신체의 다른 부위에도 다양한 증상을 유발합니다. 다음은 목디스크 환자들이 흔히 겪는 10가지 주요 증상입니다.
- 목덜미, 어깨, 등 통증
- 설명: 목디스크의 가장 흔한 증상입니다. 목덜미가 뻐근하고 어깨가 무거우며, 등까지 통증이 이어지는 경우가 많습니다. 특히 아침에 일어났을 때 통증이 더 심하게 느껴지기도 합니다.






목디스크 증상 - 팔, 손가락 저림
- 설명: 목에서 팔로 내려가는 신경이 디스크에 의해 눌리면서 팔, 손, 손가락이 저리고 찌릿한 통증이 나타납니다. 저림 증상은 특정 손가락에서만 나타나기도 하고, 양쪽 팔 모두에서 나타나기도 합니다.
- 팔과 손의 감각 이상 및 근력 약화
- 설명: 신경 압박이 심해지면 팔과 손의 감각이 둔해지거나, 손에 힘이 빠져 물건을 자주 떨어뜨리는 증상이 나타납니다. 젓가락질이나 펜을 잡는 등 섬세한 손동작이 어려워지기도 합니다.






목디스크 증상 - 두통 및 어지러움
- 설명: 목 주변의 근육이 긴장하면서 혈액순환이 원활하지 않아 두통을 유발할 수 있습니다. 특히 뒷목이 뻣뻣하면서 머리 전체가 아픈 긴장성 두통과 함께 어지럼증을 느끼기도 합니다.
- 목 움직임 제한
- 설명: 목덜미 근육이 굳어 고개를 좌우로 돌리거나 뒤로 젖히기 힘듭니다. 목을 움직일 때 뚝뚝 소리가 나거나 뻣뻣한 느낌이 들 수 있습니다.






목디스크 증상 - 어깨 통증
- 설명: 목디스크 통증이 어깨 근육으로 퍼지면서 오십견과 비슷한 통증을 유발할 수 있습니다. 팔을 올리기 힘들거나 어깨가 무겁고 쑤시는 증상이 지속됩니다.
- 이명 및 시력 저하
- 설명: 드물게 목디스크가 자율신경계에 영향을 미쳐 귀울림(이명)이나 눈이 침침하고 시력이 저하되는 증상을 유발할 수 있습니다.






목디스크 증상 - 흉통
- 설명: 목디스크로 인한 신경 압박이 가슴 부위로 퍼지면서 가슴 통증을 유발할 수 있습니다. 이는 협심증과 비슷하게 느껴져 오인하기 쉽습니다.
- 하지 마비 및 보행 장애
- 설명: 목디스크가 심하게 진행되어 척수를 압박하면 하체까지 증상이 나타날 수 있습니다. 다리에 힘이 빠지고, 보행이 불안정해지며, 심한 경우 마비 증상이 나타나기도 합니다. 이는 즉시 치료가 필요한 심각한 합병증입니다.






목디스크 증상 - 수면 장애
- 설명: 목 통증이나 팔 저림이 밤에 더욱 심해져 잠을 설치거나, 잠든 후에도 자주 깨는 수면 장애를 겪을 수 있습니다.
목디스크 관리를 위한 간략한 주의사항
- 바른 자세: 스마트폰이나 컴퓨터를 사용할 때 고개를 숙이지 말고, 모니터 높이를 눈높이에 맞추세요.
- 스트레칭: 틈틈이 목과 어깨 스트레칭을 해주어 근육의 긴장을 풀어주세요.
- 베개 사용: 너무 높거나 낮은 베개는 피하고, 목의 C자 곡선을 유지할 수 있는 기능성 베개를 사용하세요.
- 정확한 진단: 위와 같은 증상이 지속될 경우, 즉시 정형외과나 신경외과를 찾아 정확한 진단을 받고 치료를 시작해야 합니다.
오늘 함께 알아본 목디스크의 증상들이 여러분의 건강 관리에 큰 도움이 되었으면 합니다. 목디스크는 조기에 발견하고 올바른 생활 습관을 실천하면 충분히 관리할 수 있는 질환입니다. 자신의 몸이 보내는 작은 신호에도 귀 기울이는 습관을 들이는 것이 중요합니다. 오늘 알려드린 내용을 바탕으로 궁금한 점이 있다면 언제든지 전문 의료진과 상담하는 것을 잊지 마세요. 우리 모두 건강한 삶을 위해 노력해요!
갑상선암 증상 10가지
안녕하세요! 오늘은 갑상선암의 증상에 대해 이야기하고자 합니다. 갑상선암은 '착한 암'이라 불릴 만큼 예후가 좋은 편에 속하지만, 조기에 발견하여 적절한 치료를 받는 것이 무엇보다 중요합
gbrkwl.ehsaksgdl.com
복숭아 효능 10가지
여름만 되면 찾게 되는 과일, 복숭아!달콤한 과즙, 부드러운 식감, 은은한 향까지…복숭아는 기분까지 상쾌하게 해주는 계절 과일이죠.하지만 복숭아는 단순히 맛있는 과일 그 이상입니다.풍부
gbrkwl.ehsaksgdl.com
공황장애 증상 10가지
안녕하세요. 요즘 스트레스와 불안으로 인해 공황장애를 겪는 분들이 점점 늘고 있습니다.공황장애는 단순한 불안이나 긴장을 넘어서, 갑작스럽고 강렬한 공포와 신체 증상이 동반되는 질환인
gbrkwl.ehsaksgdl.com
- 목덜미, 어깨, 등 통증